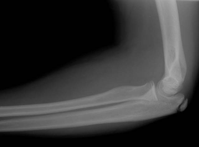
Elbow x-ray (lateral)

Anshuman Bansal

JHU SOM

abansal1@jhmi.edu

David Marker

JHU SOM

dmarker@jhmi.edu


Publication Date: 2009-08-19

Study

Labeled Study

Legend